
I am grateful for so much. I have a lovely wife (Robin), eight beautiful children and five grandchildren. Yet just two weeks ago my life was shaken when Robin woke me up at 11:00 at night saying her heart was racing and it wouldn’t slow down. This was to end up being classified as a mild heart attack but throughout the process we had peace and are extremely grateful now that she is through it. That gratitude sustains us and helps us have the resiliency to deal with other issues as they come up.
So when Robin first woke me up, I didn’t panic because she has a condition which often causes her heart to race but but this seemed different. It was pounding harder and racing faster than usual and it wasn’t stopping when she laid down or coughed as is usually the case. After over an hour, we drove to the ER where the doctors told her she was experiencing an episode of atrial fibrillation.
This condition is not life threatening so we were not terribly worried. In fact, we both had a calm about us that was unusual. Through the night the ran tests and found out that there was some slight damage to the heart muscle tissue indicating that this may have been a blood clot in the heart or a blocked artery. They were able to rule out the blood clot fairly quickly so then they wanted to do an angiogram to check the arteries to her heart.
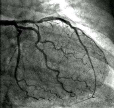
An angiogram is an fascinating procedure. They
used to stick a catheter up from a patient’s groin area and position it near the heart. Now they are able to go in through the wrist. I was able to view a video of them pulsing an opaque dye into her arteries and actually saw the blockage which the cardiologist estimated at 80%. That was the BEFORE. They had installed a stent after blowing up a balloon in her artery to stretch it open and the AFTER image showed the same vessel completely open. Technology is amazing!
Through it all we we felt no anxiety. Robin was calm and we felt closer to each other in that hospital room than we have in a long time. When it was all said and done, we were grateful for the runaway heartbeat episode that led us to discovering this potentially fatal artery blockage. If this had gone to 95% she would have been much worse off. So gratitude may seem a strange result for a heart attack but we realize that it could have been much worse.
Less than a week later our son-in-law passed away due to congestive heart failure. This has been extremely trying for our family and devastating for our daughter. She was inconsolate for days and is just now starting to come out of it to a semblance of her usual self. We are all sad, but once again we are grateful that her husband Chris is no longer suffering. Gratitude has helped us weather the storms. It has helped me in my real estate investing business to stay focused on the steps needed to achieve the outcomes that I desire. It has helped my wife be emotionally available for our daughter and our grandchildren through the terrible loss of their husband and father. I am grateful for gratitude and the One who is watching over us and insuring that we are not lost but lovingly cared for. It’s a wonderful feeling.
Image courtesy of HeartValveSurgery.com
If you found this worthwhile, I share more of these ideas and deeper discussions on my YouTube channel:
I’d encourage you to subscribe and join the conversation.